Loon Rescues on Ice | Winter 2024
Skip to navigation Skip to content

Loon Rescues on Ice

Loon rescue
Photo by Marc Beerman

In the Winter 2024 issue of Northern Woodlands, writer Brett Amy Thelen describes heroic efforts to rescue stranded loons from iced-in lakes throughout the Northeast. With heavy bones built for swimming and diving, loons require a “runway” of approximately 100 yards to become airborne. Most migrate to the open ocean in late fall, but some linger on inland lakes due to inexperience, illness, lead poisoning, or “molt-migration mismatch” – a climate change–related phenomenon in which some of the cues that prompt loons to migrate (such as falling air and water temperatures) come too late in the year, when the birds are in the midst of molting their flight feathers and are therefore unable to fly. Whatever the reason, when loons fail to migrate in time, encroaching ice can trap and ultimately kill them.

One of the challenges of preparing this article for print was choosing from among dozens of compelling photos and having to omit many for space constraints. Here’s a look at some of those photos – as well as a few that appeared in the print article – documenting rescue efforts on four different New England lakes.

Chase Pond: Wilmot, New Hampshire

In early December 2023, the Loon Preservation Committee (LPC) learned of the presence of a common loon on Chase Pond in Wilmot, New Hampshire. Initially, there was enough open water for the loon to take off on its own. Within a few days, however, the pond had iced over, leaving the bird confined to an area of open water just 15 feet in diameter.
Chase pond loons
Photo by Marc Beerman
On the morning of December 8, LPC biologists were able to capture the loon with a gillnet and to transport it to shore via a jon boat.
Loon rescue
Photo by Marc Beerman
Removing it from the gillnet proved slightly more challenging.
Loon rescue
Photo by Marc Beerman
LPC biologists brought the loon to Hopkinton Animal Hospital, where they met with Maria Colby of Wings of the Dawn Wildlife Rehabilitation Center, who determined that the bird was healthy enough to return to the wild. They then drove the loon to the coast, banded it, and released it on open water. The next day, LPC rescued a second iced-in loon, on Province Lake in Effingham, New Hampshire. Although that bird was given a clean bill of health, it could not be released for another four days due to a winter storm that was battering the coast.
Loon
Photo by Marc Beerman

Highland Lake: Stoddard, New Hampshire

In early autumn, adult loons begin their annual molt, shedding their trademark black-and-white plumage in favor of a more grayscale look. Although adults in winter plumage closely resemble juvenile loons, juveniles can be distinguished by their distinct whitish gray feather tips, which create a scalloped pattern, as seen here. This loon was seen diving and resurfacing in a narrow channel of open water a few hundred feet from shore on Highland Lake in Stoddard, New Hampshire on January 16, 2016.
Ice rescue
Photo by Brian Reilly
The next day, LPC senior biologist John Cooley Jr. walked across the ice in full safety gear, with a jon boat in tow, and used a long-handled landing net to scoop the loon out of the icy water.
Loon rescue
Photo by Brian Reilly
The bird was relatively easy to capture and remained still once it was in the net – a red flag, as healthy loons are usually quite feisty. An x-ray taken at VCA Capital Area Veterinary Emergency and Specialty (CAVES) in Concord, New Hampshire, showed no fractures or metal objects, but a blood test revealed the bird was suffering from lead poisoning. Wildlife rehabilitator Maria Colby admitted the loon to Wings of the Dawn Wildlife Rehabilitation Center in Henniker, New Hampshire, and began chelation treatment to treat the lead poisoning. After six days, the loon’s lead levels had dropped and the bird was released along the coast at Kittery Point, Maine. In a hopeful development, LPC is finding that loons that ingest lead fishing tackle in winter seem to be more responsive to chelation treatment than birds that experience lead poisoning during the summer months.
Loon rescue
Photo by Brian Reilly

Lake Winnipesaukee: central New Hampshire

On January 15, 2022, Nordic skaters on Lake Winnipesaukee, New Hampshire’s largest lake, came across a worrisome sight: 10 loons swimming in a shrinking patch of open water roughly a mile from land. The skaters notified LPC. At the time, there was still too much open water for a rescue attempt, and LPC biologists held out hope that the loons might be able to take off on their own.
Loon rescue
Photo by Harry Vogel/LPC
With the help of the Nordic skating community, LPC monitored the situation. A week later, after a period of subzero temperatures, the opening in the ice had shrunk, and the birds had still not flown away. LPC was finally ready to attempt a rescue. The loons, however, had other ideas and managed to evade capture.
Loon rescue
Photo by Harry Vogel/LPC
That night, temperatures dipped well below zero, and the hole closed in substantially. The loons were now confined to a patch of open water roughly 10 feet in diameter. Knowing that rescue efforts were now more likely to succeed and that the hole might completely freeze over if they waited any longer, LPC staff once again made the icy, mile-long trek out to the birds. Over the course of four hours, they were able to capture all 10 loons. LPC biologists John Cooley Jr., Caroline Hughes, and Tiffany Grade caught some of the birds, using gillnets (panels of netting that are stretched and dragged across the water by two or more rescuers).
Loon collage
Photo by Robert Kozlow
Other loons were captured via long-handled landing nets – but they did not make it easy!
Loons
Photos by Robert Kozlow & Harry Vogel/LPC
One by one, the biologists disentangled each bird. They then placed the loons in boxes, loaded them up on ice-fishing sleds, and walked them back to shore.
Loon rescue
Photo by Harry Vogel/LPC
The “Winni 10” were first brought to LPC’s Loon Center, where LPC Senior Biologist John Cooley Jr. analyzed blood samples from each loon to check for lead poisoning, anemia, and signs of infection. Although the bloodwork came back clean for nine of the birds, one had slightly elevated lead levels that ultimately required chelation treatment.
Loon science
Photo by Harry Vogel/LPC
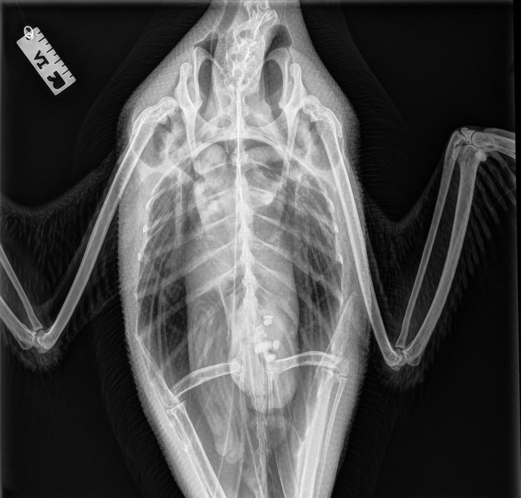
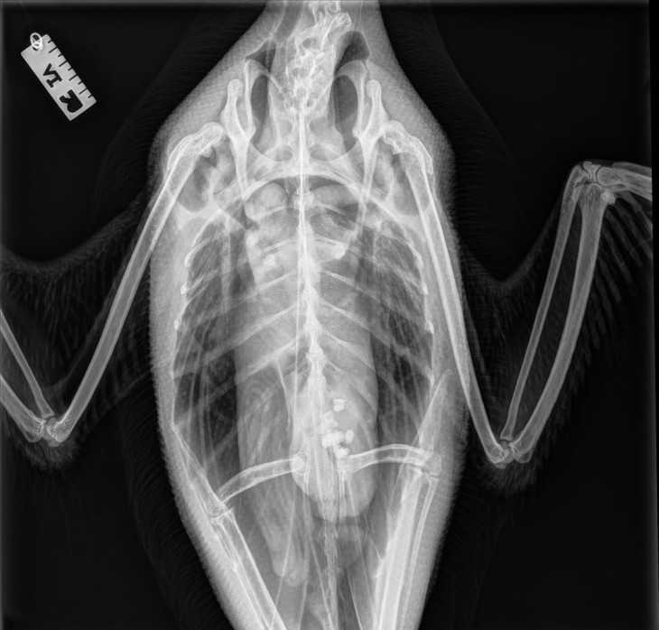
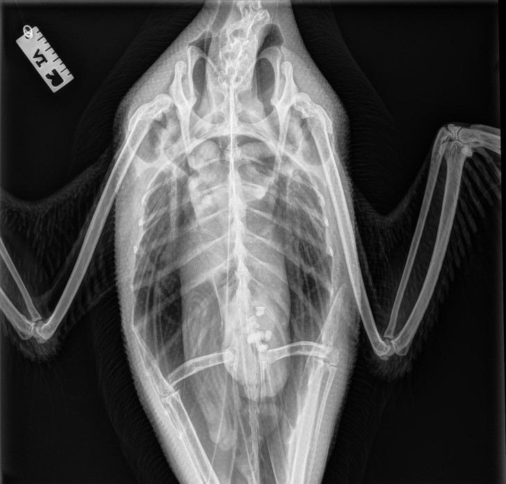
Next, the team brought the loons to VCA Capital Area Veterinary Emergency and Specialty (CAVES) in Concord, New Hampshire, where technicians took radiographs (x-rays) to rule out the presence of internal injuries or ingested fishing tackle. Although the birds were a bit thin after their ordeal, the x-rays did not reveal any cause for concern. (The foreign objects visible in this loon’s lower body are stones, ingested and stored in the gizzard to aid in digestion of hard food items.) The loons were then transferred to Wings of the Dawn Wildlife Rehabilitation Center in Henniker, where rehabilitator Maria Colby treated the lead-poisoned bird and kept all 10 for feeding and observation. In the day they spent at Wings of the Dawn, they collectively ate nearly 30 pounds of fish!
Loon radiograph
Photo by VCA CAVES
After consultation with Colby and loon expert veterinarian Mark Pokras, LPC staff determined the loons were fit for release. Three of the birds were already banded – their bands identified them as males from breeding territories on Purity Lake in Eaton, Red Hill Pond in Sandwich, and Orange Pond in Canaan – but LPC biologists banded the remaining seven in the field, just prior to release. The following spring, band re-sightings confirmed that 6 of the 10 birds had returned to lakes in northern and western New Hampshire.
Banding loons
Photo by Mary Hoyt
At long last, on January 24, the “Winni 10” were released on open water along the New Hampshire coast – nine days after LPC was first alerted to their precarious position on Lake Winnipesaukee.
Loons released
Photo by Harry Vogel/LPC

Lake Champlain: northwest Vermont

In late February 2016, Nordic skater Phyl Newbeck and a friend were troubled to discover nine loons confined to a small area of open water on Lake Champlain, along with a tenth loon, dead, underneath nearby ice. Newbeck took a photo and sent it to Vermont Center for Ecostudies (VCE) loon biologist Eric Hanson, who acted quickly to organize a rescue. Together with a team of eight volunteers, Hanson donned microspikes, a life vest, and cold-weather gear and hiked out to the loons. In a story about the rescue for the Burlington Free Press, Newbeck wrote, “Looking a bit like an Arctic expedition, we pulled a canoe and three sleds piled high with a variety of supplies, unsure exactly what we would need.” Once they reached the loons, Hanson fastened his life vest, climbed into the canoe, and attempted to capture the birds with a long-handled net. While he worked, the rest of the team endeavored to keep the boat steady with ropes, all while being buffeted by strong southwest winds. That first day, Hanson said, “We got one loon from the canoe by chance.”
Loon rescue
Photo by Phyl Newbeck
The next day, after consulting with John Cooley Jr. of the Loon Preservation Committee, the team hatched a new plan to corral the loons by floating a tarp across much of the open water.
Loon rescue
Photo by Phyl Newbeck
“Amazingly,” Newbeck said, “I caught the first loon when I dipped one of the two nets into the water to try to convince the birds to head in Hanson’s direction. The loon swam directly over my net, and I was able to haul it out of the water. I was surprised how heavy the bird was, and it, in turn, appeared quite shocked to be suspended in midair in a net.” The team captured five more birds that day, scooped either from the water or the ice – and a sixth jumped into the (now-unmanned) canoe, which had been placed near the tarp to help round up the loons.
Loon rescue
Photo by Phyl Newbeck
All six loons were examined and found to be in good health. They were then brought to the Burlington waterfront in boxes or bins, where Hanson released them on open water.
Loon rescue
Photo by Eric Hanson
A week and a half after Newbeck first spotted the loons, Hanson, Newbeck and Bob Dill, a fellow Nordic skater who had volunteered on the earlier rescues, returned for the final two birds. After a week of frigid temperatures, the ice opening had narrowed considerably, and the birds had weakened. The trio captured one of the loons, which was healthy enough to be released. Sadly, the other loon dove and never resurfaced – a somber reminder of the delicate nature of such efforts.
Loon release
Photo by Phyl Newbeck

No discussion as of yet.

Leave a reply

To ensure a respectful dialogue, please refrain from posting content that is unlawful, harassing, discriminatory, libelous, obscene, or inflammatory. Northern Woodlands assumes no responsibility or liability arising from forum postings and reserves the right to edit all postings. Thanks for joining the discussion.