Malaria Moves North, Infecting Loons | Spring 2022 Knots and Bolts
Skip to navigation Skip to content

Malaria Moves North, Infecting Loons

nesting_loons_web.jpg
A nesting pair of American loons. Photo by Daniel and Virginia Poleschook.

With its striking black-and-white coloration and haunting calls that echo across the water, the common loon is an iconic species of the Northeast. Once widespread and truly “common,” loon populations have been diminished by lakefront development, lead fishing tackle, watercraft collisions, acid rain, mercury deposition, and other environmental toxins. While dedicated conservation efforts in recent years have helped loons recover, studies predict steep declines in the coming decades. An emerging malaria epidemic may compound the problem.

Malaria affects humans in the tropics, but this debilitating disease can also harm many other species, including other primates, white-tailed deer, bats, lizards, and several bird species. Historically, loons have been exempt. But a warming climate and subsequent expansion northward of several species of birds – and the parasites they carry with them – is proving deadly for loons.

A 1947 edition of Peterson’s A Field Guide to Birds indicated that tufted titmice ranged as far north as New Jersey, northern cardinals made it to southern New York, and common grackles were found up to southern New England. These birds are now common in northern New England and New York, and the list of birds expanding northward is growing.

Negative impacts of songbirds on waterbirds may seem unlikely – loons do not compete for seed at bird feeders, and cardinals have not developed appetites for yellow perch. However, as songbirds extended their range, they brought malaria parasites along with them. Expanding insect populations – namely mosquitos – compound the problem.

Mosquitos transfer malaria parasites from bird to bird. So an increase in the number – and type – of mosquitos can mean the potential increase of malaria transmission. Tanya Petruff and Joseph McMillan of the Connecticut Agricultural Experiment Station and their collaborators measured a 60 percent increase in mosquito numbers in Connecticut between 2001 and 2020 as well as 10 percent more mosquito species in the state. That’s a lot more biting, blood sucking, and potential for transfer of disease.

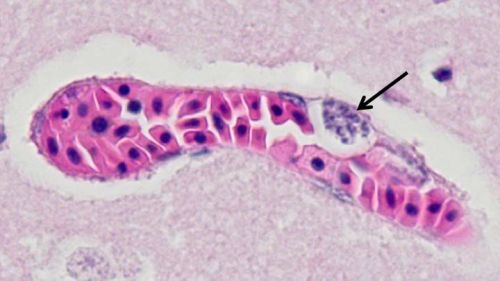
brain_parasites_web.jpg
Malaria parasites replicating within the wall of a brain capillary of a common loon. Photo by Inga Sidor.

Of particular concern for loons is Culex erraticus, a mosquito previously restricted to southeastern states; starting in the 1980s, this species was detected in New Jersey and has been migrating north ever since. It is now found throughout New England with the exception of Maine. Andrea Egizi from Rutgers University and her colleagues sequenced DNA from blood consumed by this species, which revealed that most dined on waterbirds, including loons. And Culex pipiens, the house mosquito introduced from Europe – now abundant in our backyards – transmits a malaria parasite species also recently detected in loons.

Thus far, six malaria species have been found in loons. It is unclear if all six species harm loons, but volunteer-driven fieldwork, necropsies by veterinary pathologists, and molecular biology indicate that at least one species of malaria parasite certainly kills loons.

The story first unfolded in 2015, when paddlers on Lake Umbagog – which spans northern New Hampshire’s border with Maine – reported a deceased loon. Wildlife biologists brought the loon to Inga Sidor, veterinary pathologist at the University of New Hampshire, whose examination revealed a grossly enlarged spongy heart, degraded lungs, and a greatly enlarged spleen. Microscopy of tissues revealed malaria parasites clogging the capillaries supplying blood to the brain. The cause of death was cerebral paralysis. Cerebral malaria affects more than half a million people in sub-Saharan Africa annually, and the parasite occurs globally in tropical and subtropical climates. But malaria had not previously been found in loons.

Ten more loons have since been found to have died from malaria in northern New England. Detective work has revealed that all 10 were infected by the same malaria species as the Umbagog loon. This deadly malaria parasite can apparently easily jump from one bird host species to another.

Pathogens and hosts typically coevolve to mutual tolerance, and it is not in the best interest of a parasite to be lethal: dead hosts don’t transmit pathogens, because the pathogen dies with the host before reproducing and spreading its genes. Pathogens thus evolve reduced virulence or detrimental impact on their host organisms.

But when pathogens move to new hosts, problems arise quickly, including disease and death. HIV, a benign chimpanzee virus, became lethal when it moved to humans. Similarly, a malaria parasite species that is harmless in northern cardinals, tufted titmice, or other unknown hosts could be lethal in loons. Interestingly, the parasite is common in – but not harmful to – the American robins that love our lawns.

This all begs the question: What is the human malaria risk under changing climates? Avian malaria parasites are strictly limited to birds; there is little risk that robins or loons will transmit malaria to humans. Human malaria parasites are also on the move, but let’s not rush to blame the birds.

Deceased loons should be reported to your state loon biologist, local loon nonprofit organization, or state wildlife agency. Time is of the essence, as malaria becomes more difficult to detect as decomposition advances. Learn more about the research here.

No discussion as of yet.

Leave a reply

To ensure a respectful dialogue, please refrain from posting content that is unlawful, harassing, discriminatory, libelous, obscene, or inflammatory. Northern Woodlands assumes no responsibility or liability arising from forum postings and reserves the right to edit all postings. Thanks for joining the discussion.